Selon une étude, les fluctuations quotidiennes des hormones dans le corps masculin pourraient jouer un rôle dans le rétrécissement du cerveau au cours de la journée. Après avoir perdu du volume entre le matin et le soir, le cerveau se réinitialise pendant la nuit, recommençant le cycle, comme le montre la recherche.
L’étude a consisté à scanner le cerveau d’un jeune homme de 26 ans 40 fois en 30 jours. Chaque imagerie par résonance magnétique (IRM) a été réalisée à 7 heures ou 20 heures, soit à des moments où les niveaux d’hormones stéroïdes, à savoir la testostérone, le cortisol et l’estradiol, sont respectivement à leur maximum et à leur minimum.
« Les hommes présentent une diminution de 70 % du matin au soir des hormones stéroïdes », a déclaré le co-auteur de l’étude Laura Pritschetqui est maintenant chercheur postdoctoral en psychiatrie à la faculté de médecine Perelman de l’université de Pennsylvanie. Le degré de changement entre le matin et le soir diminue avec l’âge, mais ce modèle général persiste tout au long de la vie.
« On peut presque le considérer comme un rythme pulsatoire du matin au soir », a déclaré Pritschet à Live Science. Les femmes connaissent également un flux quotidien d’hormones, mais il n’est pas aussi prononcé, a-t-elle noté, car cycle menstruel entraîne simultanément des changements hormonaux à long terme.
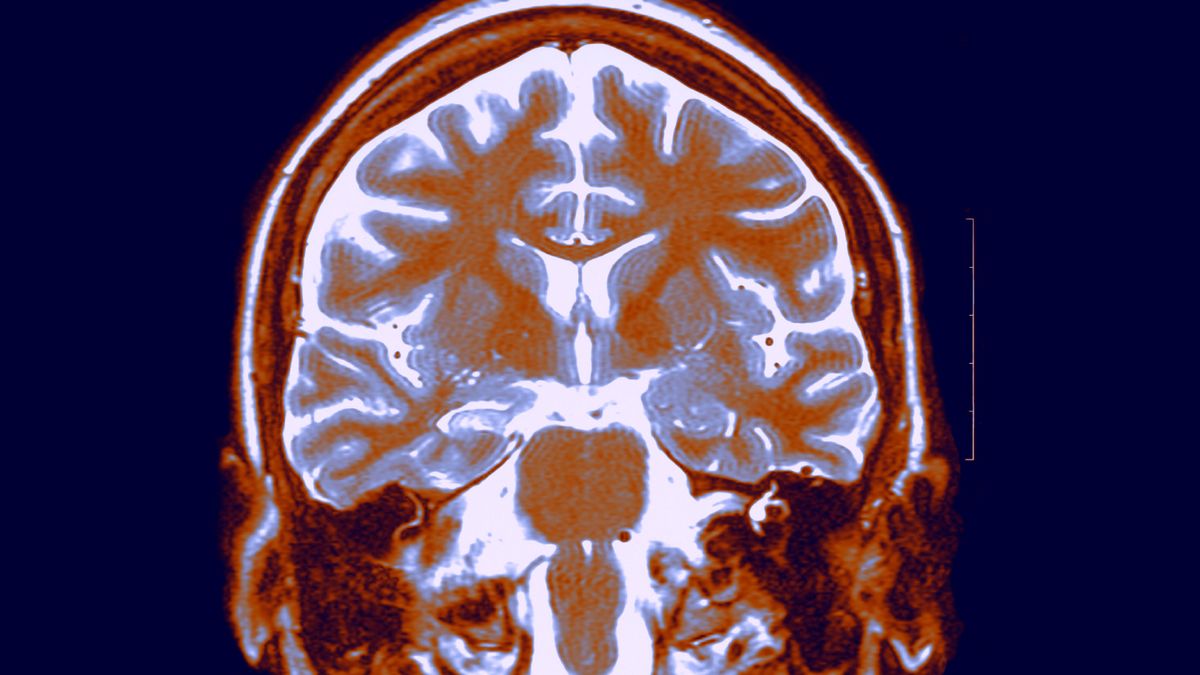
La nouvelle étude a révélé que, tout au long de la journée, le volume cérébral global du sujet diminuait, tout comme l’épaisseur du cortex, la couche externe du cerveau. Le volume de matière grise, qui contient les corps cellulaires des neurones et les connexions entre eux, diminuait en moyenne d’environ 0,6 %.
Deux régions du cortex, appelées cortex occipital et pariétal, ont connu la plus forte contraction. Des changements ont également été observés dans des structures cérébrales plus profondes, notamment le cervelet, le tronc cérébral et certaines parties du cerveau. hippocampeCes parties du cerveau sont respectivement impliquées dans la coordination des mouvements, la transmission d’informations entre le cerveau et le corps et stocker des souvenirs.
La diminution du volume cérébral est parallèle à la diminution quotidienne des hormones. Cependant, on ne sait pas encore si les hormones sont à l’origine des changements cérébraux, ont écrit les auteurs de l’étude dans un rapport publié mercredi (18 septembre) dans Journal des neurosciences.
J’aime le contrepoint qui consiste à souligner aujourd’hui les différentes manières dont les systèmes endocriniens des hommes sont variables.
Pavel Shapturenka, le sujet de l’étude
« Je pense que c’est une question ouverte », a déclaré le co-auteur de l’étude. Elle Muratadoctorante en psychologie et sciences du cerveau à l’Université de Californie à Santa Barbara (UCSB), a déclaré à Live Science. Mais néanmoins, « c’est, je pense, un autre exemple qui démystifie le mythe selon lequel les hormones ne concernent que les femmes ».
Des recherches antérieures suggèrent que les hormones stéroïdes façonnent le cerveau. le cycle menstruel a été lié à des changements de volume dans tout le cerveau, et des études suggèrent que ces changements ne se produisent pas lorsque le cycle hormonal est altéré — par exemple, par le contrôle des naissances. Des décennies de études sur les animaux suggèrent également que les hormones stéroïdes façonnent la structure du cerveau sur des échelles de temps courtes.
« Je suis convaincu que les hormones ont un impact sur le cerveau et sa structure », a déclaré Murata. « Mais dans cette étude, nous ne pouvons pas dire qu’elles en sont directement la cause. »
Les hormones masculines pourraient-elles rythme circadien Est-ce que cela affecte les fonctions cérébrales ? Pour l’instant, on ne sait pas exactement comment cela pourrait se produire. Cela dit, une autre étude de l’équipe suggère que des changements dans la connectivité du cerveau suivent un cycle de 24 heures.
Dans cette autre étudeL’équipe a étudié le même individu mais a étudié les schémas de communication entre différentes parties du cerveau, plutôt que de prendre des instantanés de sa structure. Les chercheurs ont découvert que la « cohérence » (une mesure de synchronisation) dans le cerveau augmentait et diminuait en fonction des niveaux d’hormones stéroïdes.
Il est intéressant de noter que les régions cérébrales qui traitent les informations visuelles sont apparues dans les deux études, a noté Murata. Ces zones cérébrales ont montré à la fois une perte de volume et une perte de cohérence tout au long de la journée.
« Peut-être qu’il se passe quelque chose dans les réseaux visuels », suggère Murata. « On ne sait pas encore pourquoi. » Il est également important de noter que ce schéma n’a été observé que dans le cerveau d’une seule personne, et que des schémas différents peuvent émerger chez différentes personnes.
L’objet des études actuelles, Pavel Shapturenkaa déclaré à Live Science qu’il trouvait le processus d’imagerie cérébrale « relaxant », d’une manière presque « hypnotique ». Lorsqu’on lui a demandé pourquoi il s’était porté volontaire pour cette recherche, il a répondu que c’était une « opportunité unique » de contribuer à un domaine des neurosciences dont nous ne savons pas grand-chose. (Shapturenka et Pritschet sont mariés et étaient tous deux doctorants à l’UCSB au moment de la collecte des données de l’étude, bien que Shapturenka étudie le génie chimique plutôt que les sciences du cerveau.)
« Toutes les informations disponibles mettent en évidence la variabilité endocrinienne (hormonale) inhérente aux femmes », a déclaré Shapturenka. « J’aime le fait que nous mettions désormais en évidence les différentes manières dont les systèmes endocriniens des hommes sont variables », d’autant plus que cette variabilité pourrait affecter le fonctionnement du cerveau, a-t-il déclaré.
Pritschet et Murata ont déclaré qu’une prochaine étape pourrait consister à étudier comment les différences dans le sommeil modifient cette dynamique dans le cerveau. Les perturbations du sommeil sont liées maladies métaboliques et problèmes de santé mentaleil serait donc intéressant de voir comment le cycle quotidien du cerveau s’intègre dans ce tableau. L’élimination des déchets du cerveau — appelé le système glymphatique — se déclenche également pendant le sommeil et peut donc avoir son propre rôle à jouer dans ce cycle quotidien, ont-ils déclaré.
Vous êtes-vous déjà demandé pourquoi certaines personnes développent leurs muscles plus facilement que d’autres ou pourquoi les taches de rousseur apparaissent au soleil? Envoyez-nous vos questions sur le fonctionnement du corps humain pour communauté@livescience.com avec pour objet « Health Desk Q » et vous pourrez peut-être voir la réponse à votre question sur le site Web !

