Recevez les découvertes les plus fascinantes du monde directement dans votre boîte de réception.
Vous êtes maintenant abonné
Votre inscription à la newsletter a réussi
Vous souhaitez ajouter plus de newsletters ?
Rejoignez le club
Obtenez un accès complet à des articles premium, des fonctionnalités exclusives et une liste croissante de récompenses pour les membres.
Un compte existe déjà pour cette adresse email, veuillez vous connecter.
Abonnez-vous à notre newsletter
Le malade : Un homme de 31 ans à Wardha, en Inde
Les symptômes : L’homme s’est rendu dans un centre médical après avoir ressenti pendant cinq jours des douleurs dans le côté droit du bas du dos, ainsi qu’une sensation de brûlure lors de la miction et un fièvre supérieure à 102,2 degrés Fahrenheit (39 degrés Celsius).
Que s’est-il passé ensuite : Lors d’un examen physique, les médecins ont constaté que le côté droit de l’abdomen de l’homme était douloureux au toucher. Son urine était trouble, mais sa fréquence cardiaque, sa tension artérielle et sa respiration étaient normales.
L’article continue ci-dessous
Le diagnostic : Des analyses de sang ont montré que l’homme avait des taux élevés de leucocytes, des globules blancs qui combattent les infections. Une culture d’urine a identifié un type de bactérie appelé Klebsiella pneumoniaequi est souvent associée à des infections des voies urinaires, ont écrit les médecins dans un rapport de l’affaire. Ensemble, ces résultats ont confirmé que l’homme avait une infection active.
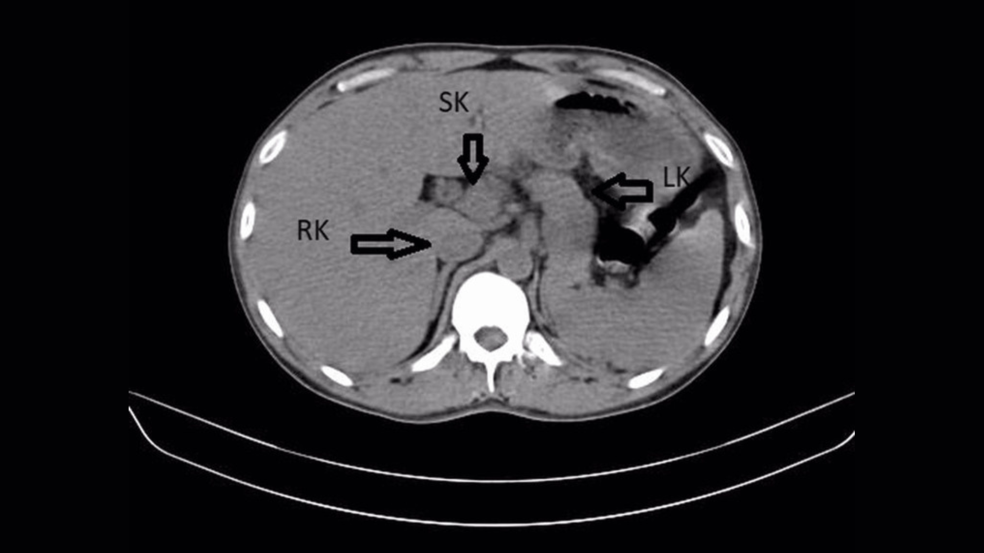
Mais en plus, une échographie et un scanner de l’abdomen du patient ont révélé quelque chose d’inattendu : un troisième rein, également appelé rein surnuméraire. Il a été fusionné au rein droit de l’homme, créant ainsi une forme de fer à cheval.
Un rein surnuméraire est une anomalie congénitale qui apparaîtrait au cours du développement fœtal. Cela apparaît en raison d’une division cellulaire anormale dans la moelle qui forme plus tard les reins. Un rein surnuméraire peut conduire parfois à des infections rénalesmais cette maladie n’affecte pas toujours la fonction rénale normale et passe souvent inaperçue, selon le rapport.
Dans ce cas, les reins gauche et droit du patient étaient enflés et présentaient des accumulations de tartre ou de cristaux minéraux. Ces cristaux durs se forment lorsque l’urine est plus concentrée ; les petits « calculs » disparaissent souvent normalement pendant la miction, mais peuvent entraîner une infection s’ils persistent dans les reins sans traitement.
Les signes d’infection étaient plus graves dans le rein gauche, avec une accumulation de tartre dans l’uretère gauche, le tube qui relie le rein gauche à la vessie.
Le traitement : Les médecins ont inséré un mince tube en plastique, appelé stent, dans l’uretère gauche pour faciliter le drainage de l’urine. Ensuite, ils ont administré à l’homme des traitements intraveineux d’antibiotiques pipéracilline et tazobactam trois fois par jour, ainsi que de l’antibiotique lévofloxacine tous les deux jours.
Après 48 heures de traitement médicamenteux et d’hydratation, l’état du patient s’est amélioré. Il a obtenu son congé et on lui a dit de faire un suivi dans un mois pour faire retirer le stent et gérer l’accumulation de tartre dans son rein.
Ce qui rend le cas unique : Les reins surnuméraires sont extrêmement rares, avec moins de 100 nouveaux cas signalés dans le monde chaque année.
Une fusion en « fer à cheval » avec un autre rein est encore plus rare, avec seulement cinq cas rapportés dans la littérature scientifique. Les troisièmes reins peuvent également être complètement séparés ou vaguement reliés à un autre rein par une fine couche de tissu.
Clause de non-responsabilité
Cet article est uniquement à titre informatif et ne vise pas à offrir des conseils médicaux.
Sources des articles
Nimkar, SV, Yelne, P., Gaidhane, S., Acharya, S., Kumar, S. et Batra, N. (2022). Rein surnuméraire (triple rein) avec malformation en fer à cheval : à propos d’un cas. Curéus.https://doi.org/10.7759/cureus.31436
Anissa Chauvin
Je m'appelle Anissa, rédactrice passionnée au cœur battant pour Reveil Citoyen Media. Mon parcours, de la plume lycéenne aux salles de rédaction, est guidé par une curiosité insatiable et le désir ardent de révéler les vérités cachées. Chaque article que je rédige est une invitation à réfléchir, à questionner et, surtout, à agir pour un monde meilleur.